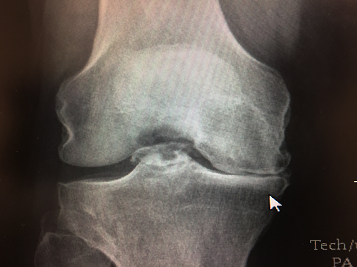
My left knee will give way to a man-made one on Thursday; we hope our readers will share even more news items and stories over the next few weeks! Life is ridiculously unfair. (Editor's Note: Warning - What follows is a long, whiny, "poor me" from the stereotypical whiny male who does not think he is nearly as stereotypically whiny as the typical male.) After years of limping around more and more slowly - 15 years after an orthopedic specialist told me I need a total knee replacement, but was too young - I have scheduled surgery. Most of my knee surgery medical kit is pictured here. Not pictured: The walker and PED hose that prevent post-operative blood clots. February is going to be a miserable month, wearing those ridiculous PED hose to prevent blood clots and learning (or so the surgeon says I must) to inject myself with 20 doses of a blood thinner known as enoxaparin sodium and slowly hobbling around on a walker as I re-learn to bend my left knee. It started in February of 1984, when I as a very non-athletic teenager, jumped up for a pass in basketball and when I came down my knee buckled. In four years time, I tore a hamstring, broke a foot, severed a tendon in my right thumb and had torn my ACL. I limped along the next 18 years more or less functioning normally although my knee progressively got a bit worse. Then in February of 2002 I was having a snowball fight with my sons, when my left leg totally froze up. I couldn't bend it for months, and even stepped aside to let the elderly ladies pass me going up the stairs. The x-rays and MRI showed my missing ACL, and cartilage that was mostly gone and bone chips in the middle of my knee where the "cap" should be. And on the left side of my knee, the bones would rub together since there was no cartilage. I limped along the next 15 years, wearing a tight brace with metal bands, and learning how much, and where I could walk. Because my job mostly involved office work, I managed to fair much better than someone whose job demanded physical labor. I even was able to usually play with the granddaughters and work outside. But over the past year or so, it has gotten worse. And after attending a couple of events at arenas with lost of steep steps in November, I was pretty much confined to limping around the house - or leaning on the grocery cart, surreptitiously using it as a walker. Late in December, I went to another surgeon, who told me I am almost - but not quite - too young. But after looking at the x-rays he said "What do you want?" So, today I am asking for your help. We will keep doing Vinton Today as before, although I will be doing all of it from the confines of my home office. I have a few stories I have been working on to share with you over the next few weeks, but I hope those of you who have so faithfully shared news items and photos will continue to do so, and that all of you who have news items to share but have never had the opportunity to share them with us, will do so. Oh, Mrs. C is offering to be helpful, although she scoffs at the idea of being instructed as my "caregiver," although not once after six childbirths, including c-sections, other surgeris and complications, did anyone tell me what I ought to do. It's true: Before I leave the hospital, they will make sure she knows how to properly care for me. And nope, nobody ever gave me such lessons when she went home! Life ain't fair, like that. And in other ways, too. I was heading to the lab a few days ago, pondering how to share with you all the details of my difficult journey ahead, when I saw an acquaintance who is about my age. I was about to unload on him my whole tale of woe, but first to be polite, I asked how he was. "We just found out I have cancer," he said, as his wife sat tearfully beside him. Like I said, life is ridiculously unfair. Sure, we need your help here at Vinton Today, and I hope you will pass on all of the stories you see, or experience. Contact us via email at vintontoday@hotmail.com, or on our Facebook page. But other people need your prayers much more than I do.

Comments

Submit a Comment

Please refresh the page to leave Comment.

Still seeing this message? Press Ctrl + F5 to do a "Hard Refresh".